善意の悪魔
何も書くことがパッと思いつかないので
昨日の出来事でも。
昨日いらしていた初診の患者様。
二週間前ぐらいに慢性腎臓病のステージ3と診断され
腎臓病療法食と活性炭を処方されたそうで
今後のケアについてのご相談ということで当院にいらしてました。
もっちーがお話しして検査をさせてもらうことになり
僕がエコーを当てさせてもらいました。
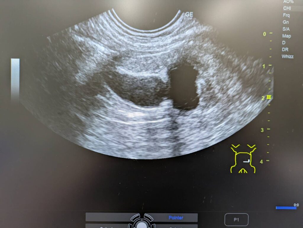
結果はこんな感じ。


左の腎臓の腎盂が重度に拡張し
その先の尿管内に結石のようなものがみつかりました。
診断は尿管閉塞による急性腎障害といった感じでしょうか。
この子はたまたま詰まっていた尿管がおそらく自然に開通したっぽくて
腎数値は当院にいらした時点では下がっておりました。
なので、慢性腎臓病という診断はちょっと違うかったわけですね。
恐ろしいなあって思うのは
最初の動物病院さんでは慢性腎臓病と診断され
療法食と活性炭が処方され
その後の腎臓の数値が下がっているわけですから
ほらね、数値が下がったでしょ?的な感じで
ドヤ顔した獣医が療法食とか活性炭が効いたんですね、今後も続けましょう
とか言っちゃいそうな点。
動物病院って怖いですよね。
しかも、聞いたところによると
その病院さんでも腹部エコーの検査はしてもらっていたそうで。。。
本当にそうなら完全に見逃しているわけなので
尿管結石を見逃して、慢性腎臓病と誤った診断をし
その後は不要な療法食漬けにしてしまう、という
犬さんとかご家族にとっては、あまり良くない事態になっているわけですが
本当に恐ろしいなあと思うのは
この一連の誤診みたいな診療行為を
すごく真面目にされているんじゃないかということ。
善かれと思って病院さんや獣医さんはされていることが
実際は悪い結果を導いてしまっているような
そんな状態です。
ちゃんと診断することってやっぱり大事ですし
自分たちも一歩間違えれば
善意の悪魔になりかねないんだろうな、と思った次第でありました。
気をつけようと思います。
今日はそんなお話しでした。
それでは。