猫さん情報
猫さんの腎臓のリンパ腫
先日、15歳の猫さんの健康診断を実施しました。
健康診断なので
特にこれといった何か病的な症状はなく
体重減少や食欲不振などももちろん認めませんでした。
ただ、血液検査にて腎数値の軽度の上昇と
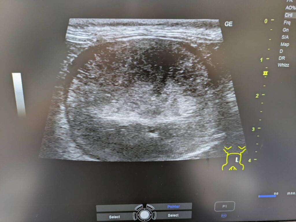
腹部超音波検査にて左の腎臓がこんな感じでした。

少し腎臓の大きさが肥大しているように見えるのと
腎臓の被膜下に黒い領域を認め
そこに向かって、皮質に放射状に線が入っているようにも見えます。
後日、鎮静下で細胞診の検査をする予定になりましたが
腎臓のリンパ腫が最も疑わしいのかなと考えております。
この子が腎臓のリンパ腫だったら
この一ヶ月の間に3件目になりますので
一般的にはリンパ腫の中では少ない方とされる腎臓のリンパ腫ですが
そんなに珍しくもないのだろうな、と思います。
中高齢以上の健康診断は
病気の早期発見という意味では、やはり重要なのかなと思います。
積極的な検査や治療に進むかどうかは別にして
今この子がどういう状態なのかを知れるということも
すごく意味のあることだなと思っています。
で、せっかくなので
最近始めた試みとして
一つのテーマを決めて複数論文をAIに読み込んでもらって
それをまとめてもらって
患者様向けの資料として作ってもらうってのをやってるんですけど。
それをここに貼っておこうと思います↓
よかったら参考にしてみてください。
猫の腎臓リンパ腫について
(ご家族向けのご案内)
腎臓リンパ腫とは?
- リンパ腫は猫で最もよくみられる腫瘍のひとつで、腎臓にも発生することがあります。
- 腎臓リンパ腫は、腎臓だけにできる場合と、全身のリンパ腫の一部として腎臓にできる場合があります。
- 多くは両側の腎臓に広がり、腎臓の腫れや機能低下を引き起こします。
どんな症状が出るの?
- 食欲不振、体重減少、元気がない
- 多飲多尿(お水をたくさん飲んでオシッコの量が増える)
- 嘔吐や脱水、場合によっては呼吸が苦しそうになることもあります
- 動物病院での検査では、貧血や腎不全のサイン(血液検査での数値異常)が見つかることも多いです
どうやって診断するの?
- 超音波検査(エコー)
- 腎臓が大きくなる、表面が不整になる、腎臓の外側に「黒い帯(ハロー)」が見えるなどの特徴がみられることがあります。
- 尿検査
- まれに、尿中に腫瘍細胞が出て診断につながるケースも報告されています。
- 細胞診や生検
- エコーで腎臓から細い針を刺して細胞を調べることで、確定診断を行います。
治療と予後は?
- 基本となるのは**抗がん剤治療(化学療法)**です。
- 「L-CHOP」という複数の薬を組み合わせたプロトコルがよく使われます。
- ステロイドのみで治療する場合もありますが、生存期間は短くなる傾向があります。
- 論文のまとめでは、
- ステロイドのみ:中央値で約1〜2か月
- 抗がん剤治療:中央値で半年ほど
- 中には数年以上元気に過ごした猫さんも報告されています。
- ただし、腎臓リンパ腫は全体としては予後が厳しい病気です。
ご家族へのメッセージ
- 腎臓リンパ腫は猫さんにとって珍しくない腫瘍ですが、診断と治療は簡単ではありません。
- 早めの超音波検査や尿・血液検査で異常を見つけ、必要に応じて専門的な治療を検討することが大切です。
- 「完全に治す」ことは難しい場合が多いですが、治療により症状を和らげ、少しでも穏やかで快適な時間を延ばすことを目標とします。
こういうことが数分でできるようになって
情報をインプットする時間が加速度的に速くなったのが嬉しすぎて
何でもかんでもやろうとしていて
ちょっとブログの更新が疎かになってしまってすみません。
せっかくAIを使用するなら
ここでも何か有効活用できるようにしていきたいと思います。
それでは。